Co proti odhaleným krčkům zubů? Praktické řešení a prevence

Co proti odhaleným krčkům zubů? Praktické řešení a prevence
od Kristýna Maková z 16.11.2025

Kontrola rizika zasunutí dásní

Zjistěte, zda máte riziko zasunutí dásní

Tento nástroj vám pomůže posoudit, zda máte příznaky zasunutí dásní a zda byste měli navštívit zubního lékaře. Je to pouze výchozí kontrola, ne náhrada za odborné vyšetření.

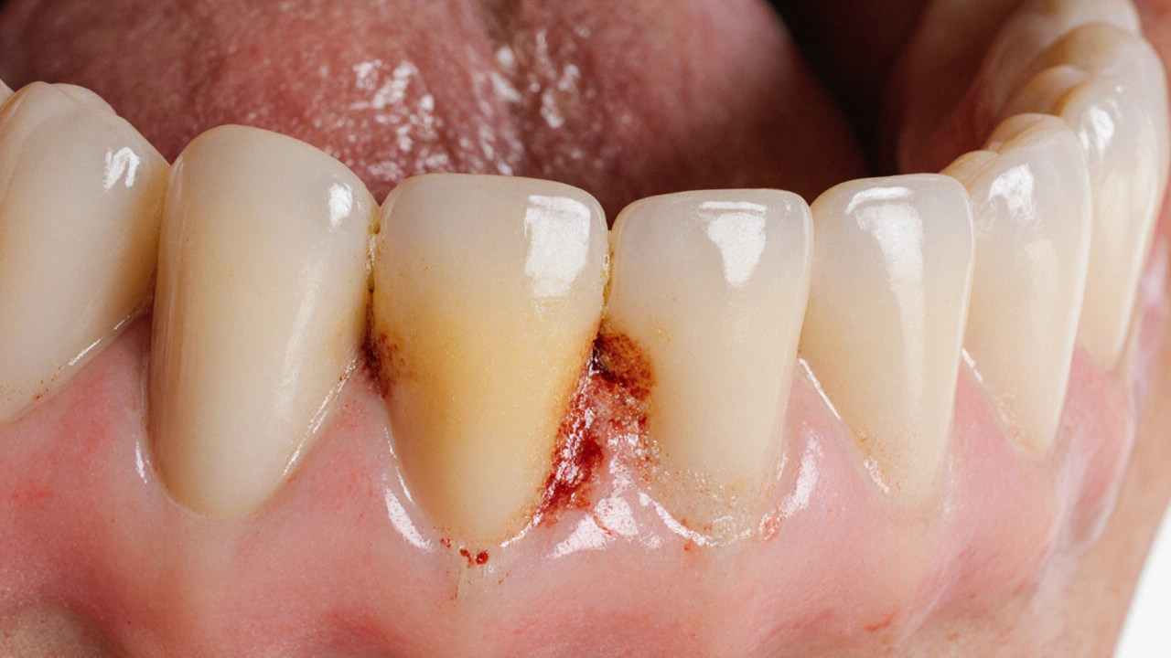
Odhalené krčky zubů nejsou jen estetický problém. Když začnete cítit, jak vás bolí studená voda, vzduch nebo sladké jídlo, a když si v zrcadle všimnete, že zuby vypadají delší než dříve, je to signál, že něco není v pořádku. Nejde o věk, nejde o to, že jste „přirozeně“ měli zubní dásně zpět. Je to příznak poškození, které se dá zastavit - a často i obrátit.

Proč se vůbec krčky zubů odhalují?

Krček zubu je ta část, která by měla být vždy zakrytá dásní. Když se dásně stáhují, zůstává tento měkký, žlutavý povrch venku. A to není jen o vzhledu. Krčky nemají sklovinku - mají jen cement, který je mnohem tenčí a citlivější než sklovinová vrstva na koruně zubu. Když je odhalený, je zub ohrožený.

Nejčastější příčiny jsou jasné: zubní plak, který se mění na kámen, a ten způsobuje zánět dásní - parodontitidu. Ale není to jen o špatné hygieně. Mnoho lidí si neuvědomuje, že příliš agresivní čištění zubů, tvrdé kartáčky, nebo tření zubů do strany (zvláště při bruxismu) může dásně mechanicky poškodit. I nesprávně vložené zubní náhrady, špatně doplněné zubní náplně nebo nesprávně založené korunky mohou dásně dráždit a vést k jejich stahování.

Stáhnutí dásní se také často projevuje u lidí s tenkými dásněmi, což je genetická věc. Někdo má dásně jako papír - a i mírný zánět je může zničit. Nebo to může být spojené s hormonálními změnami - těhotenstvím, menopauzou, nebo užíváním antikoncepce.

Co se stane, když to ignorujete?

Když odhalený krček necháte být, neznamená to, že se všechno vyřeší samo. Naopak. Zub se začne postupně rozpadat. Cement na krčku není schopen odolat kyselinám a bakteriím tak dobře jako sklovinová vrstva. Vznikají kávové díry - kariés na krčku. Ty jsou obtížnější na léčbu než kariés na koruně, protože jsou blízko dásně a těžko přístupné.

Kromě toho se zub stává citlivějším. Při každém polknutí studeného nápoje, při každém vdechu zimního vzduchu - bolest. A to se může stát trvalým problémem. V některých případech se krček natolik ztenčí, že zub může prasknout. Nebo se začne pohybovat, protože ztrácí podporu. V extrémních případech se zub musí vytrhnout.

Nezapomeňte: odhalené krčky nejsou jen problém jednoho zubu. Jsou příznakem celkového zdraví úst. Pokud máte jedno odhalené místo, pravděpodobně máte i další - jen ještě nevidíte. To je důvod, proč je důležité nejen léčit, ale i zjistit, proč se to stalo.

Kyretáž zubů: co to je a proč to dělají stomatologové?

Kyretáž zubů je standardní léčebná procedura, kterou provádí parodontolog nebo zubní hygienistka. Je to hluboké vyčištění zubů pod dásní - tam, kde běžný kartáček a nit nemohou dojít. Cílem je odstranit zubní kámen, plak a infikované tkáně, které drží zánět naživu.

Proces začíná místním podáním anestezie. Poté se používají speciální nástroje - kyrety - které se dostanou pod dásně a odstraní kámen i poškozené tkáně. Někdy se používají i ultrazvukové přístroje, které rozpadají kámen a zároveň myjí oblast. Po vyčištění se dásně zhluboka vypláchnou a někdy se aplikuje léčivý gel nebo antibiotikum.

Je to nepříjemná, ale nebolestivá procedura. Většina lidí ji popisuje jako „těžké škrábnutí“, ale ne jako bolest. Po ní můžete cítit citlivost, mírný otek dásní nebo dokonce trochu krvácení - to je normální a mizí do několika dní. Důležité je, že kyretáž není „jednorázové řešení“. Je to první krok k zastavení pokročilé parodontitidy.

Srovnání zdravé a odhalené dásně s plakem a kariés na kořeni zubu.

Co dělat po kyretáži?

Po kyretáži je nejdůležitější, abyste nezahodili výsledek. Pokud se nezmění vaše návyky, dásně se opět stáhnou. A to rychleji než dříve.

  • Používejte jemný kartáček - nejlepší jsou ty s ultrajemnými štětinami. Čistěte zuby dvakrát denně, ale ne třete. Pohyb musí být jemný, kruhový, ne horizontální.
  • Používejte zubní nit nebo mezizubní kartáčky - každý večer. Tam, kde se kámen tvoří nejčastěji - mezi zuby a pod dásněmi.
  • Používejte zubní pastu s fluoridem a hydroxyapatitem - tyto látky pomáhají obnovovat povrch zubu a zpevňují citlivé oblasti.
  • Vyhněte se kyselým nápojům a sladkým potravinám - každý kousek cukru nebo limonády dává bakteriím palivo, které zvyšuje kyselost v ústech a způsobuje další erodaci.
  • Navštěvujte zubní hygienistku každých 3-6 měsíců - ne každých 12. Pokud máte odhalené krčky, potřebujete pravidelný dohled.

Co jiného může pomoci kromě kyretáže?

Kyretáž zastaví zánět, ale nevrátí dásně zpět. Pokud chcete získat estetický vzhled nebo ochránit citlivý krček, existují další možnosti.

Zubní nátěr s fluoridem - aplikuje se v ordinaci a pomáhá zpevnit povrch. Výsledek je vidět za několik týdnů.

Chirurgické zákroky - pokud je dásně ztracena většinou, může lékař navrhnout transplantaci dásně. Odebere se malý kousek tkáně z patra nebo z jiného místa v ústech a přesune se na odhalený krček. Je to efektivní, ale vyžaduje zotavení a náklady. Výsledek je trvalý - dásně se vrátí na místo.

Speciální gel pro citlivé zuby - tyto produkty obsahují struktury, které uzavírají mikrokanálky v krčku zubu. Výsledek je rychlý - často za několik dní. Ale toto je jen účinek, ne léčba. Pokud neodstraníte příčinu, bolest se vrátí.

Zub jako dům s křehkým základem, dásně jako země, která se řítí, transplantace dásně jako oprava.

Když už to není jen o krčku - když je zub ztracený?

Někdy je krček natolik poškozený, že zub už nelze zachránit. V takovém případě se nejedná o to, co proti krčku dělat - ale o to, jak zub nahradit. Zde se nabízí implantát, most nebo zubní náhrada. Ale i v tomto případě je klíčové nejprve zastavit zánět na ostatních zubech. Jinak se problém přesune na nový implantát - a ten také může selhat.

Nejhorší je, když lidé odloží léčbu, protože si myslí, že „to je jen krček“ a „to nevadí“. Ale zubní dásně jsou jako základ domu. Když se zhroutí, padne celá stavba.

Co můžete dělat hned teď?

Nečekejte, až vás to bolí. Pokud už cítíte citlivost, nebo si všimnete, že zuby vypadají delší:

  1. Prohlédněte si zuby v zrcadle - hledejte žlutavé, měkké oblasti u základu zubů.
  2. Upravte způsob čištění - jemný kartáček, kruhové pohyby, ne tření.
  3. Kupte si mezizubní kartáček nebo nit - a používejte ji každý večer.
  4. Přepněte na pastu s hydroxyapatitem - ne jen fluoridem.
  5. Zavolejte na zubní hygienistku - ne na lékaře. Nejde o vyšetření, ale o čištění.

Největší chyba je čekat. Odhalené krčky se nevyléčí samy. Ale pokud je chytíte včas, můžete je zastavit - a zachránit zuby, které vám ještě mohou sloužit desítky let.

Je odhalený krček zubu nebezpečný?

Ano, je. Odhalený krček není jen estetický problém - je to příznak zánětu dásní a ztráty podpory zubu. Bez léčby může vést k kariés na krčku, citlivosti, pohyblivosti zubu a nakonec k jeho ztrátě. Je to signál, že vaše ústní hygiena nebo jiný faktor potřebuje okamžitou pozornost.

Může se dásně vrátit zpět samy?

Ne. Dásně se nevracejí samy zpět, jakmile se stáhly. Můžete zastavit další stahování, ale obnovení původního tvaru vyžaduje chirurgický zákrok - transplantaci dásně. Bez léčby se situace jen zhoršuje.

Je kyretáž bolestivá?

Ne. Procedura se provádí s místní anestézií, takže při ní necítíte bolest. Po ní může být mírná citlivost nebo oteklost, ale to je normální a trvá jen několik dní. Mnoho lidí se bojí, ale většina potvrzuje, že to bylo mnohem méně nepříjemné, než si představovali.

Jak dlouho trvá zotavení po kyretáži?

Zotavení trvá obvykle 5-10 dní. Během tohoto období se dásně zacelí a zmenší citlivost. Doporučuje se vyhýbat se horkým, kyselým nebo tvrdým potravinám. Čištění zubů pokračuje, ale jen jemně - s ultrajemným kartáčkem.

Může pomoci jen zubní pasta?

Ne. Zubní pasta s hydroxyapatitem nebo fluoridem může zmírnit citlivost a pomoci zpevnit povrch, ale neodstraní kámen nebo zánět pod dásní. Tyto problémy vyžadují profesionální čištění - kyretáž. Pasta je doplněk, ne řešení.