Jak si doma odstranit zubní kámen bez škody pro zuby

Jak si doma odstranit zubní kámen bez škody pro zuby
od Kristýna Maková z 21.03.2026

Vypočítejte riziko vzniku zubního kamene

Tato kalkulačka vám pomůže odhadnout, jak velké je vaše riziko vzniku zubního kamene na základě vašich ústních hygienických zvyků. Je důležité znát své riziko, abyste mohli včas zasáhnout a předejít zdravotním problémům.

Zubní kámen není jen nepříjemný, ale přímý cestou k zubnímu kazu, zánětu dásní a dokonce ztrátě zubů. Mnoho lidí si myslí, že ho můžou odstranit doma pomocí různých triků - od soli a octa až po dráty nebo špachtelky. Ale pravda je jednoduchá: zubní kámen se doma nedaří odstranit bez rizika. Nejlepší způsob, jak ho odstranit, je u zubního lékaře. Ale pokud chceš zpomalit jeho tvorbu nebo se připravit na návštěvu, tady je, co opravdu funguje.

Co je vlastně zubní kámen?

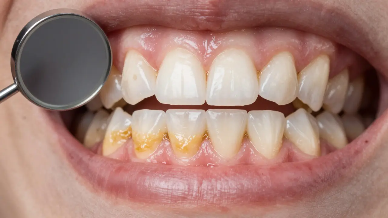
Zubní kámen není jen „špína“ na zubech. Je to tvrdý, vápenatý nános, který vzniká, když se zubní plak neodstraní. Plak je měkká vrstva bakterií, která se tvoří každý den. Pokud ji neodčišťuješ pravidelně, mineralizuje se - a za několik dní se promění v kámen. Ten je už nemožný odstranit běžnou kartáčkou. Vypadá jako žlutý nebo hnědý nános, obvykle u základů zubů, zejména u dolních řezáků a u špičáků. A nejhorší je, že ho nevidíš, dokud není příliš velký.

Proč domácí metody nejsou bezpečné

Mnoho lidí zkouší odstranit kámen doma. Používají ocet, sůl, baking soda, dráty, zubní špachtelky nebo dokonce zubní kartáček s tvrdými štětinami. Ale všechny tyto metody mají jedno společné: poškozují zubní sklo.

Zubní sklo je nejtvrdší tkáň v těle, ale není nezranitelné. Když třeš špachtelkou nebo drátem, můžeš vytvořit mikrotrhliny. Ty pak způsobí, že se plak a bakterie lépe přichycují - a kámen se bude tvorit ještě rychleji. Baking soda je příliš abrazivní pro denní používání. Ocet je kyselý a může zubní sklo postupně rozpouštět. A když se snažíš „vydrápat“ kámen, můžeš poškodit i dásně - což vede k zánětu a krvácení.

Podle studie z Journal of Clinical Periodontology z roku 2024, 68 % lidí, kteří se snažili odstranit kámen doma, mělo po třech měsících zhoršenou zdravotní stav dásní. A 23 % z nich mělo nové kámen rychleji než předtím.

Co opravdu funguje - doma i před návštěvou zubního lékaře

Nemusíš čekat na návštěvu u zubního lékaře, abys zpomalil tvorbu kamene. Zde je, co můžeš dělat každý den:

  • Čisti zuby dvakrát denně - alespoň dvě minuty, ráno a večer. Používej kartáček s jemnými štětinami a fluoridovou pastou. Nečisti agresivně, jen jemně, ale pečlivě.
  • Používej nitě - každý večer. Kámen se často tvoří mezi zuby, kde kartáček nedosáhne. Nitě odstraňují až 80 % plaku z těchto míst. Pokud ti nitě přijde těžké používat, zkus niti s vodíkovým peroxidem nebo s fluoridem - pomáhají i proti bakteriím.
  • Vypláchni úst po každém jídle vodou, pokud nemůžeš čistit zuby. To zmenší množství cukrů, které bakterie potřebují na tvorbu plaku.
  • Používej ústní vodu s chlorhexidinem - ale jen na krátkou dobu (maximálně 2 týdny). Chlorhexidin je silný antiseptik, který zpomaluje růst bakterií. Není vhodný pro každodenní používání, ale může pomoci, když máš zánět dásní.
  • Přestaň pít sladké nápoje - každý kousek cukru, který vstoupí do úst, dá bakteriím palivo. Zvlášť škodlivé jsou limonády, čaj s cukrem a ovocné šťávy. Pokud je piješ, vypij to rychle, než se ho přes celý den „sáčkuj“.
Osoba se snaží doma odstranit zubní kámen drátem, poškození zubního skla a krvácení dásní.

Když už máš kámen - co dělat?

Když už vidíš, že máš zubní kámen, jediná bezpečná možnost je navštívit zubního lékaře. Odborník používá speciální nástroje - ultrazvukový skraber a ruční nástroje - které odstraní kámen bez poškození zubu. Tento proces se nazývá skrabání nebo odstranění zubního kamene. Je to rychlé, obvykle bezbolestné a trvá 20-40 minut.

Nečekávej, až kámen způsobí zánět dásní nebo zubní kaz. Když se kámen tvoří, bakterie se přesouvají pod dásně - a tam způsobují zánět, který se už neodstraní kartáčkem. To je tzv. paradentitida - závažný zánět, který může vést k ztrátě kosti kolem zubů. A to se už nevrátí.

Ve České republice je odstranění zubního kamene zahrnuto v základním zubním pojištění. Můžeš ho dělat každých 6-12 měsíců bez doplňkového poplatku. Nečekávej, až budeš mít bolest - dej si to udělat už teď.

Co dělat po odstranění kamene?

Po odstranění kamene je důležité udržet výsledek. Prvních 48 hodin je zubní sklo citlivější. Proto:

  • Nejízdej černý čaj, víno, kávu nebo kouříš - můžeš zubům způsobit nové zbarvení.
  • Nečisti zuby hned po návštěvě - počkej 2 hodiny. Zubní lékař může na zubech nechat jemnou vrstvu fluoridu, která potřebuje čas, aby se vstřebala.
  • Udržuj pravidelnou hygienu - každý den, bez výjimek. Kámen se tvoří za 3-5 dní, pokud nečistíš.
Zubní lékař odstraňuje kámen ultrazvukovým skrabákem v klinice, pacient klidně sedí.

Nejčastější chyby, které lidé dělají

Největší chyba je přesvědčení, že „když to nebojí, tak to není špatné“. Zubní kámen nebo bolest. Až když začne krvácet dásně, lidé začnou panikovat. Ale když už krvácí, je už pozdě.

  • Čistím zuby jen jednou denně - nestačí. Plak se tvoří každých 12 hodin.
  • Používám jen kartáček - bez niti je odstraněno jen 50-60 % plaku.
  • Čistím tvrdým kartáčkem - poškozuje dásně a sklo.
  • Čekám na bolest - zubní kámen a zánět dásní jsou bezbolestné, dokud není příliš pozdě.
  • Používám „čistící“ pasty s bílou barvou - tyto pasty obsahují příliš mnoho abraziv, které zubní sklo opotřebují.

Co dělat, když máš děti?

Děti mají často kámen dříve, protože nečistí zuby dostatečně. Nezatíž je kartáčkem - ale nauč je správné technice. Používej dětskou pastu s fluoridem, až od věku 3 let. A začni s nití, jakmile mají dva zuby vedle sebe. Děti od 5 let už mohou čistit zuby samy - ale stále potřebují dohlédnutí. A pokud už mají kámen, základní pojištění platí i pro děti. Nečekávej, až bude mít bolest.

Lze odstranit zubní kámen doma bez škody?

Ne. Zubní kámen je tvrdý vápenatý nános, který se dá odstranit pouze speciálními nástroji u zubního lékaře. Domácí metody - jako ocet, baking soda, dráty nebo špachtelky - poškozují zubní sklo a dásně. Mohou způsobit trvalé poškození, které zvýší riziko dalšího kamenění a kazu.

Kolik stojí odstranění zubního kamene v Česku?

Odstranění zubního kamene je zahrnuto v základním zubním pojištění. Většina pacientů si jej může nechat udělat zdarma každých 6-12 měsíců. Pokud máš doplňkové pojištění, můžeš být i častěji. Pokud se obrátíš na soukromé ordinace, cena se pohybuje mezi 300 a 700 korunami, ale není to nutné.

Jak rychle se zubní kámen znovu vytvoří?

Zubní kámen se může znovu vytvořit za 3-6 měsíců, pokud nečistíš zuby pravidelně. U některých lidí se objeví již za 2-3 týdny, pokud mají špatnou hygienu, příliš mnoho cukru ve stravě nebo křivé zuby. Pravidelné čištění, nitě a pravidelné návštěvy u zubního lékaře zabraňují jeho návratu.

Je pravda, že zubní kámen způsobuje zubní kaz?

Ano. Kámen je hnízdo pro bakterie. Tyto bakterie vyrábějí kyselinu, která rozkládá zubní sklo a vede k kazům. Kámen také zabraňuje účinnému čištění - když je na zubu kámen, zubní past nebo nitě nedosáhnou na povrch pod ním. To zvyšuje riziko kazů, zejména u zubů pod kamenem.

Můžu si odstranit kámen sám, když ho vidím?

Ne. Pokud kámen vidíš, už je příliš tvrdý na to, aby se dal odstranit kartáčkem nebo niti. Pokus o jeho odstranění vlastními silami může způsobit poškození zubu, dásní nebo dokonce ztrátu zubu. Vždy se obrát na zubního lékaře. To je bezpečnější, rychlejší a levnější, než poté opravovat škody.

Nezapomeň: zubní kámen není jen estetický problém. Je to předzvěst zubního kazů, zánětu dásní a možné ztráty zubů. Nejlepší lék je prevence - pravidelné čištění, nitě, a návštěva u zubního lékaře. Nečekávej, až budeš mít bolest. Už teď můžeš udělat něco, co ti ušetří čas, peníze a bolest v budoucnu.